Prise en charge précoce
Mon enfant a-t-il besoin d'une prise en charge précoce ?
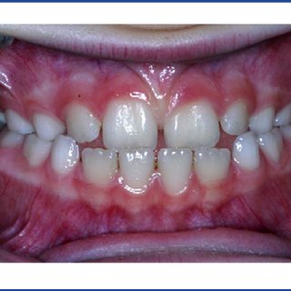
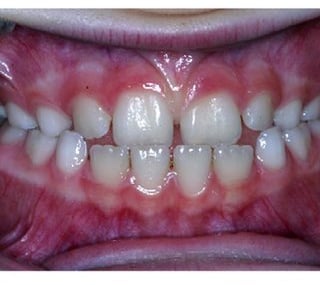
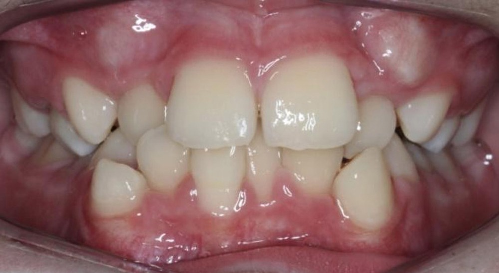
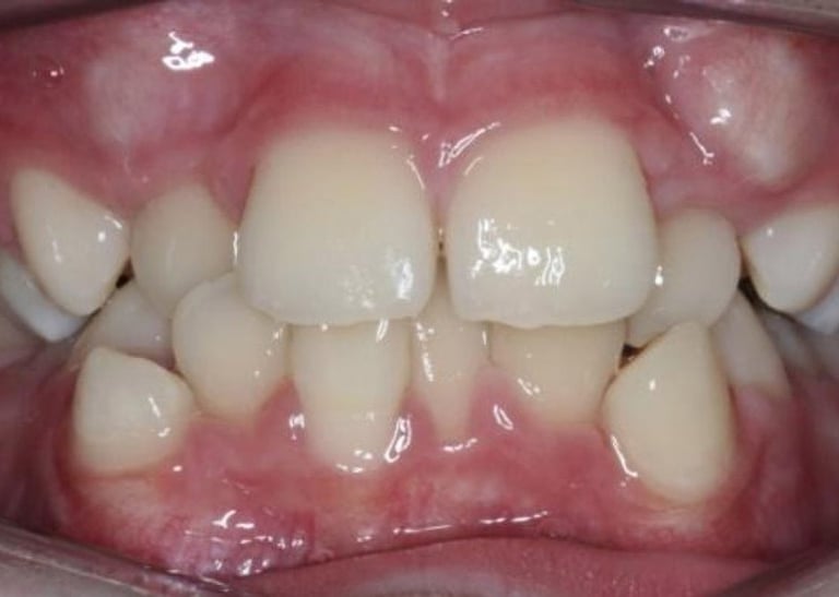
CERTAINES MALOCCLUSIONS NECESSITENT D'ETRE INTERCEPTEES DES L'AGE DE 8 ANS
Les traitement précoces peuvent rétablir l’harmonie et permettre aux mâchoires de grandir et se développer normalement, avant que la croissance ne soit terminée.
Inversé d'occlusion


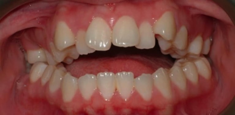
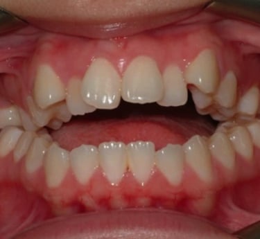
Encombrement dentaire


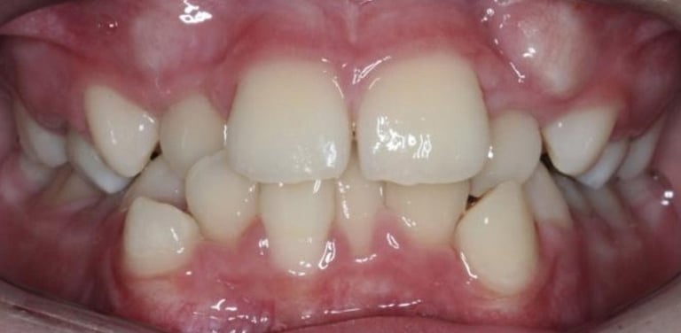
Béances


Adresse
638 rue de Saint Denis
45560 SAINT DENIS EN VAL
Contact
secretariat.brassaert@gmail.com
Chirurgien-dentiste
Dr Justine Brassaert
Exercice réservé à l'orthodontie
